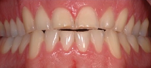
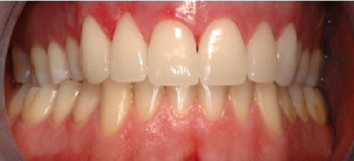
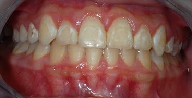
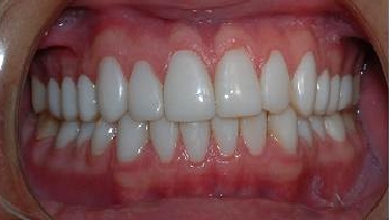
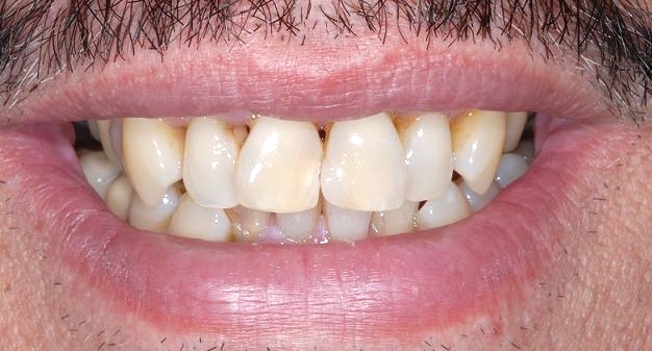
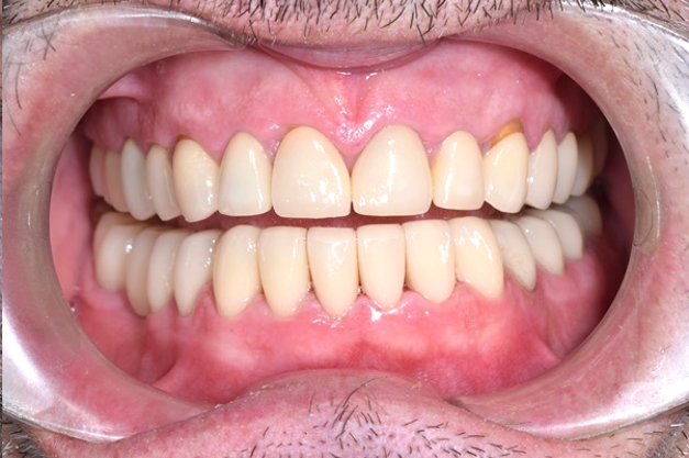
Antes y Después












Testimonios
Sentí que realmente se preocuparon por mi salud dental y me acompañaron durante todo el tratamiento.
Los protocolos de limpieza y esterilización son impecables, lo que me dio mucha tranquilidad para atenderme.
Me impresionó la tecnología moderna que utilizan, lo que hizo mi tratamiento más rápido y cómodo. Además, tienen todo en la misma clínica, no tienes que salir a hacerte las radiografías como en otras clínicas, ahorras tiempo y evitas largas esperas o desplazamientos.
Luego de atenderme con varios profesionales por fin me solucionaron mi problema dental. La atención y profesionalismo del equipo son impecables. Me realizaron un tratamiento con tecnología avanzada y los resultados fueron excelentes.
Desde el primer día me explicaron todo claramente, sin sorpresas ni dudas. Me sentí muy seguro durante todo el proceso.
El equipo siempre mostró mucha comprensión y me hizo sentir cómodo en cada visita, incluso cuando tenía miedo.