Dr. Christian Apip Gautier
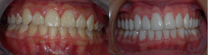
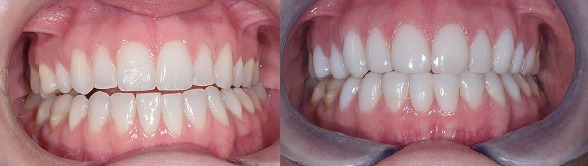
Ofrecemos tratamientos de estética dental diseñados para mejorar la apariencia de la sonrisa, buscando armonía y belleza en la forma, color, tamaño y posición de los dientes. Utilizamos técnicas avanzadas y materiales de alta calidad para corregir imperfecciones y lograr resultados naturales y duraderos.
Nuestros procedimientos incluyen blanqueamientos profesionales, carillas, remodelación dental y alineadores invisibles, todos personalizados según las necesidades y expectativas de cada paciente.
Comprometidos con la salud y la estética, trabajamos para que tu sonrisa no solo luzca perfecta, sino que también se mantenga saludable a largo plazo.















