Dr. Christian Apip Gautier
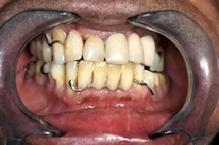
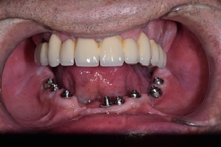
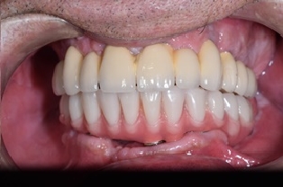
Un implante dental es la solución más avanzada para reemplazar la raíz de un diente perdido, ofreciendo funcionalidad y estética muy similares a un diente natural, garantizando estabilidad, seguridad y larga duración.
Como especialista en Rehabilitación Oral e Implantología, el Dr. Christian Apip Gautier cuenta con amplia experiencia en tratamientos que devuelven la función masticatoria y la armonía de la sonrisa, utilizando tecnología de vanguardia y protocolos clínicos de alta precisión.















