Dr. Christian Apip Gautier
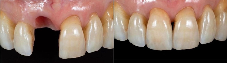
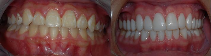
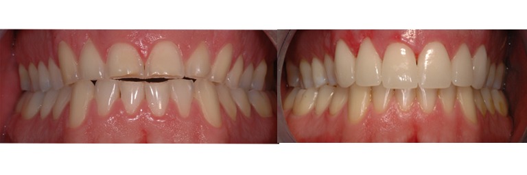
La rehabilitación oral tiene como objetivo devolver la salud, la función y la estética del sistema bucal, utilizando técnicas modernas que priorizan la preservación del tejido dentario sano siempre que sea posible.
Dependiendo de cada caso, los tratamientos pueden incluir carillas de porcelana, coronas, resinas directas sin desgaste de la pieza dentaria, prótesis removibles o implantes osteointegrados para lograr una fijación segura al hueso.
El Dr. Christian Apip, especialista en Rehabilitación Oral e Implantología, cuenta con amplia experiencia en devolver sonrisas funcionales y armónicas, utilizando tecnología de vanguardia y materiales de alta calidad para resultados duraderos.



















