Dra. Constanza Apip Santacana
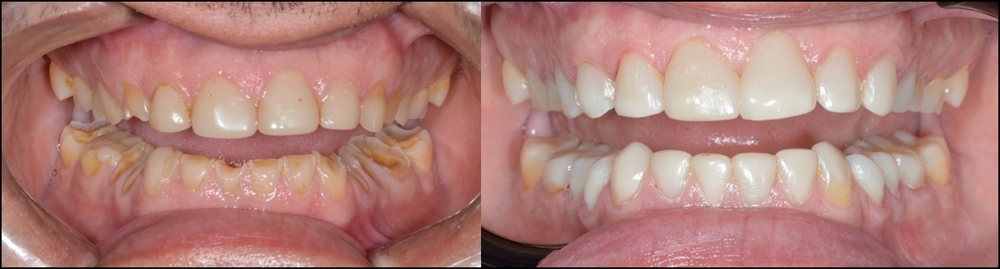
La especialidad de Rehabilitación Oral y Estética Mínimamente Invasiva busca devolver la salud, función y armonía de la sonrisa priorizando siempre la preservación del tejido dentario sano.
El trabajo de la Dra. Constanza Apip Santacana integra áreas como la Prevención, Cariología, Diseño de Sonrisas, Blanqueamientos dentales y técnicas de Odontología Mínimamente Invasiva, ofreciendo soluciones personalizadas para cada paciente.
A través de tratamientos modernos y conservadores, es posible mejorar la estética dental y mantener dientes sanos en el tiempo, logrando sonrisas naturales, funcionales y en equilibrio con el bienestar general del paciente.



















